Kalkschulter ade: Individuelle und innovative Therapie für mehr Lebensqualität
Leiden Sie unter einer schmerzhaften Kalkschulter?
Sind die Schmerzen so stark, dass sie Ihren Alltag und Ihre Freizeitaktivitäten einschränken? Sie sind nicht allein. Diese Erkrankung betrifft Menschen jeden Alters und kann die Lebensqualität stark beeinträchtigen. Doch es gibt Hoffnung! In unserer orthopädischen Privatpraxis Orthopassion bieten wir Ihnen ein ganzheitliches, individuell auf Sie abgestimmtes Behandlungskonzept, das auf den synergistischen Effekten der bewährtesten und verschiedenen innovativen Therapiemaßnahmen basiert.
Übersicht: Was ist eine Kalkschulter?
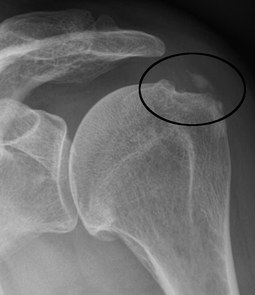
Die Kalkschulter, auch Tendinosis calcarea genannt, ist eine schmerzhafte Erkrankung der Schulter. Sie entsteht durch Kalkablagerungen in den Sehnen der Rotatorenmanschette, einer Muskelgruppe, die für die Beweglichkeit der Schulter verantwortlich ist.

Typische Symptome der Kalkschulter
Die Kalkschulter manifestiert sich durch eine Reihe charakteristischer Symptome, die Betroffene im Alltag erheblich beeinträchtigen können. Zu den typischen Anzeichen zählen insbesondere Schmerzen, die sich sowohl bei Bewegungen des Arms als auch in Ruhephasen, vor allem nachts, bemerkbar machen. Diese Schmerzen können so intensiv werden, dass sie das Heben des Arms oder alltägliche Verrichtungen wie Greifen, Kämmen oder Anziehen erheblich erschweren.
Darüber hinaus führt die Kalkschulter oft zu einer eingeschränkten Beweglichkeit des Schultergelenks, was die Lebensqualität der Betroffenen deutlich mindern kann. Neben den direkten Beschwerden im Schulterbereich sind häufig auch Verspannungen im Nacken- und Schultergürtel zu beobachten. Diese resultieren meist aus der unbewussten Schonhaltung, die Betroffene aufgrund der Schmerzen einnehmen, und können zusätzliche Beschwerden wie Kopf-, Nacken- oder Rückenschmerzen nach sich ziehen.
Ursachen und Entstehung
Die Entstehung der Kalkschulter, ist ein komplexer Prozess, der bis heute nicht vollständig verstanden wird. Es wird angenommen, dass eine Vielzahl von Faktoren zur Entwicklung dieser Erkrankung beitragen kann. Es herrscht jedoch Konsens darüber, dass eine Veränderung im Stoffwechsel der Sehnenzellen im Schulterbereich eine zentrale Rolle spielt. Diese Veränderungen können zur Ablagerung von Kalziumkristallen in den Sehnen führen, insbesondere in der Rotatorenmanschette, was zu Entzündungen, Schmerzen und einer eingeschränkten Beweglichkeit des Schultergelenks führt. Ein möglicher Auslöser ist die Überbelastung der Schulter, die durch repetitive Bewegungen oder ungewohnte Belastungen entstehen kann, was zu Mikroverletzungen in den Sehnen führt. Muskuläre Dysbalancen oder Haltungsstörungen können ebenfalls eine Rolle spielen, indem sie die Zentrierung des Oberarmkopfes im Schultergelenk beeinträchtigen. Dies führt zu einer wiederholten Einklemmung der Sehne unter dem Schulterdach, was ähnlich wie bei Überbelastungsszenarien zu Mikroverletzungen führt.
Durchblutungsstörungen der Sehnen können ebenfalls zu Kalkablagerungen beitragen, da eine verminderte Durchblutung die Selbstheilungskräfte der Sehne einschränkt und somit die Ablagerung von Kalzium begünstigt. Zudem können Stoffwechselstörungen wie Diabetes das Risiko einer Kalkschulter erhöhen, da sie allgemeine Entzündungsprozesse im Körper verstärken und somit auch im Bereich der Schultersehnen zu Problemen führen können.
Diagnose: Wie wird die Kalkschulter Diagnostiziert?
Die Diagnostik der Kalkschulter in unserer orthopädischen Privatpraxis zeichnet sich durch besondere Sorgfalt aus. Wir wissen, dass Kalk in der Schulter nicht immer Schmerzen verursacht und umgekehrt. Deshalb ist unser erster Schritt eine umfassende Anamnese und eine gründliche Untersuchung. Dieses Vorgehen ermöglicht es uns, die wahren Ursachen Ihrer Beschwerden zu identifizieren und sicherzustellen, dass unsere Diagnose präzise ist.
Modernste Ultraschallgeräte erlauben uns die detaillierte Betrachtung der Weichteile Ihrer Schulter sowie der Sehnen der Rotatorenmanschette. In bestimmten Fällen ergänzen wir diese Untersuchungen durch ein MRT, dieses kann zwar den Kalk nicht darstellen, kann jedoch eine Sehnenentzündung, Teilrupturen oder eine Schleimbeutelentzündung noch detaillierter darstellen als der Ultraschall.
In unserer Praxis nehmen wir uns Zeit für Sie: Für die Erstvorstellung planen wir in der Regel eine Stunde ein, um eine wirklich gründliche Anamnese und Untersuchung durchführen zu können und auch gleich mit der Behandlung zu beginnen. Für die folgenden Behandlungstermine veranschlagen wir 30 Minuten, um stets gründlich, intensiv und effektiv untersuchen und behandeln zu können.
Nachhaltige Heilung: Individuelle Kombination regenerativer Therapien
In unserer Praxis bieten wir Ihnen ein vielfältiges Spektrum an innovativen Therapieoptionen, die auf die individuellen Bedürfnisse jedes Patienten abgestimmt werden. Unser Fokus liegt auf der synergistischen Wirkung verschiedener Verfahren, um nicht nur Symptome zu lindern, sondern an den Ursachen Ihrer Beschwerden anzusetzen.
Hier stellen wir Ihnen einige unserer innovativen Behandlungsmethoden vor:
-
Extrakorporale Stoßwellentherapie (ESWT)
Diese nicht-invasive Methode stimuliert zelluläre Regenerationsprozesse und fördert die Selbstheilung. Durch hochenergetische Schalldruckwellen werden regenerative Vorgänge im Gewebe angeregt, die Durchblutung verbessert und entzündungshemmende Wirkstoffe freigesetzt.
Mehr lesen -
Cryotherapie
Eine effektive Methode zur Behandlung von Schmerz-, Entzündungs- und Schwellungszuständen durch hyperbare Kältetherapie. Die schnelle Abkühlung des Gewebes stimuliert den Lymphabfluss und unterstützt die natürliche Entzündungshemmung und Schmerzlinderung.
-
Lasertherapie (HILT)
Die High Power Laser Therapie dringt tief ins Gewebe ein, stimuliert die Zellregeneration und lindert Schmerzen durch Aktivierung des endorphinergen Systems. Sie ist besonders wirksam bei der Behandlung von Sehnen-, Muskel- und Gelenkbeschwerden.
Mehr lesen -
Hochenergetische Magnetfeldtherapie
Durch elektromagnetische Felder wird der Zellstoffwechsel aktiviert, die Durchblutung gefördert und das Membranpotential der Zellen stabilisiert. Dies unterstützt die Heilung von Knochen-, Muskel- und Gelenkerkrankungen.
Mehr lesen -
Physikalische Intensivtherapie, radiale Druckwellen- und Faszientherapie
Kombiniert verschiedene regenerative Techniken mit intensiver Muskel- und Faszientherapie zur Lösung von Verhärtungen und zur Verbesserung der Beweglichkeit.
-
Osteopathie
Betrachtet den Körper als Ganzes und behandelt Funktionsstörungen, die Beschwerden in entfernten Körperteilen verursachen können. Die sanften Techniken fördern die Selbstheilungskräfte und unterstützen eine nachhaltige Genesung.
Mehr lesen -
Regenerative Injektionstherapie
Nutzt die heilenden Kräfte des eigenen Blutes, um Entzündungen zu reduzieren und die Geweberegeneration zu unterstützen. Durch die Injektion von plättchenreichem Plasma werden Wachstumsfaktoren direkt zu den geschädigten Bereichen transportiert, was die Heilung beschleunigt.
-
Tenex-Behandlung
In schweren Fällen, in denen die konservativen Therapien nicht ausreichen, kann diese minimalinvasive Intervention eine Option sein, um auch stark verändertes Gewebe zu entfernen. Sie stellt eine innovative, minimalinvasive Technik dar, speziell entwickelt für Patienten, bei denen herkömmliche Therapien nicht den gewünschten Erfolg erzielt haben. Es wird eine spezielle Ultraschall-Nadel verwendet, um gezielt geschädigtes Gewebe oder Kalkablagerungen in Sehnen sanft zu entfernen, während das gesunde Gewebe geschont wird. Die Tenex-Behandlung bietet damit eine elegante minimalinvasive Alternative zu offenen oder arthroskopischen chirurgischen Eingriffen und trägt zu einer schnelleren Rückkehr in den Alltag und zur Wiederaufnahme sportlicher Aktivitäten bei.
Mehr lesen
Warum Kortison für uns keine Option ist
Kortisoninjektionen können zwar kurzfristig die Schmerzen lindern, aufgrund der erheblichen langfristigen Nachteile sehen wir jedoch von der Anwendung von Kortisoninjektionen in unserer Praxis ab. Diese können nicht nur die Sehnenstruktur schwächen und dadurch das Risiko für Risse signifikant erhöhen, sondern auch die essenzielle Durchblutung der Sehnen reduzieren, was eine verzögerte Heilung zur Folge hat. Weiterhin besteht die Gefahr, dass Kortison den Knorpelstoffwechsel negativ beeinflusst und somit die Entstehung oder das Fortschreiten von Arthrose fördert. Außerdem birgt die Behandlung das Risiko von Blutdruckkrisen oder Blutzuckerentgleisungen. Angesichts dieser Risiken priorisieren wir alternative, sicherere und regenerative Therapieansätze, die auf die langfristige Gesundheit und das Wohlbefinden unserer Patienten ausgerichtet sind, ohne dabei die genannten Kortisonfolgeschäden zu riskieren.
Selbsthilfe, Eigenübungen und Prävention
Eigenübungen sind essenziell für die Schultergesundheit, um Beweglichkeit zu erhalten und das Gewebe zu entspannen. Bewegungen sollten im schmerzarmen Bereich ausgeführt werden, um Schmerzprovokationen zu vermeiden. Regelmäßige sportliche Betätigung, kombiniert mit einem spezifischen Übungsprogramm, unterstützt die Prävention und hilft, berufliche oder sportliche Belastungen auszugleichen. In akuten Schmerzphasen kann das Auflegen eines Eisbeutels oder eine Schmerzmitteleinahme für ein paar Tage Linderung bringen.
Buchen Sie jetzt einen Beratungstermin!
Schnell, unkompliziert und einfach zu Ihrem Termin
Vereinbaren Sie jetzt einen Termin in unserer Praxis, um Ihre Kalkschulter von unseren erfahrenen Ärzten behandeln zu lassen. Wir helfen Ihnen, Ihre Schmerzen zu besiegen und Ihre Lebensqualität zurückzugewinnen.
Autor und Expertise
Unsere Praxis steht unter der Leitung von Dr. med. Raul Borgmann, einem renommierten Experten auf dem Gebiet der regenerativen Orthopädie, Osteopathie und der Bewegungsmedizin. Mit jahrelanger Erfahrung und einem tiefen Verständnis für die komplexen Zusammenhänge des Bewegungsapparates gewährleisten Dr. Borgmann und das Team der orthopädisch-osteopathischen Privatpraxis von Orthopassion eine Behandlung auf höchstem Niveau.
FAQ
-
Kann eine Kalkschulter von alleine heilen?
Ja, eine Kalkschulter kann durchaus von alleine heilen. In manchen Fällen löst sich der Kalk in der Schulter nach einiger Zeit von selbst auf. Es ist wichtig zu verstehen, dass die Schmerzen, die mit einer Kalkschulter einhergehen, oft nicht direkt durch die Kalkablagerungen verursacht werden. Vielmehr sind es die Entzündungsreaktionen der Sehnen, die die Schmerzen verursachen. Daher ist es möglich, dass die Schulter wieder vollständig schmerzfrei wird, selbst wenn Kalkablagerungen vorhanden bleiben. Aus diesem Grund ist es besonders wichtig nicht nur lokal den Kalk in der Sehne zu behandeln, sondern stets das gesamte Schultergelenk, einschließlich der umliegenden Muskel- und Faszienstrukturen.
-
Kann sich der Kalk in der Schulter wieder auflösen?
Grundsätzlich ja im Rahmen der Ausheilung der chronischen Seen Entzündung Komma es ist jedoch nicht Voraussetzung, dafür wieder schmerzfrei zu werden, dass ich aller Kalk auflösen muss Komma vielmehr ist für die Schmerzfreiheit von entscheidender Bedeutung, dass der Entzündungsreiz in der Sehne zurückgeht und eine normale Schultergelenkfunktion wiederhergestellt wird.
-
Ist Schwimmen bei Kalkschulter gut?
Schwimmen ist eine Sportart, die (bei guter Technik) sehr gut geeignet ist, um das Schultergelenk und vor allem die Anbindung des Schulterblattes zu mobilisieren. Sie sollten mit einer Kalkschulter jedoch vermeiden in den Schmerz hinein zu trainieren, egal bei welchen Tätigkeiten oder Sportarten. Wenn Sie also nahezu schmerzfrei schwimmen können, dann tun sie dies ruhig reichlich und achten Sie insbesondere auf die Gleitphase, bei der sie den Arm noch einmal etwas verlängern können, um die Mobilisation der Schulterblattanbindung noch etwas zu verbessern.
-
Wie lange hat man Schmerzen bei einer Kalkschulter?
Das ist ganz unterschiedlich und kann von wenigen Wochen bis vielen Monaten gehen, besonders wichtig ist es, frühzeitig mit einer effektiven Therapie zu beginnen, um die Chronifizierung zu vermeiden.
Lassen Sie sich von uns auf dem Weg zu einer schmerzfreien Schulter begleiten!
Ihr Team von Orthopassion
Weitere Informationen und Literaturhinweise
-
Artikel "Schulter unter Druck" von Dr. Borgmann im Magazin Handballwoche
Handball ist ein Sport mit hoher Dynamik, und eine Belastungsprobe für die Schulter. Vor allem die
kraftvollen Würfe und Blockaktionen erhöhen das Verletzungsrisiko. -
Kalkschulter Artikel von Dr. Borgmann auf Orthinform.de
Eine Kalkschulter entsteht durch Kalkablagerungen in den Schultersehnen, was oft zu Schmerzen und Bewegungseinschränkungen führt. Konservative Therapien wie Stoßwellen- und Physiotherapie sind meist effektiv; eine Operation ist nur bei Therapieversagen notwendig.
-
Shock wave therapy for calcific tendinitis of the shoulder: a prospective clinical study with two-year follow-up
Die Studie belegt, dass Stoßwellentherapie eine sichere und wirksame Behandlung für Patienten mit Kalkschulter ist, indem sie signifikante Verbesserungen ohne invasive Eingriffe bietet. Über einen Zeitraum von zwei Jahren hinweg konnten nachhaltige positive Ergebnisse in Bezug auf Schmerzreduktion und Funktionsverbesserung der Schulter festgestellt werden.
-
Focused, radial and combined shock wave therapy in treatment of calcific shoulder tendinopathy
Die Ergebnisse zeigten klinische, funktionelle und sonographische Verbesserungen in allen Gruppen. Die beste Therapie bei Kalkschulter-Tendinopathie scheint die kombinierte fokussierte und radiale ESWT im Vergleich zu einzelnen Interventionen zu sein.
-
Effects of High-Energy Extracorporeal Shockwave Therapy on Pain, Functional Disability, Quality of Life, and Ultrasonographic Changes in Patients with Calcified Rotator Cuff Tendinopathy
Schlussfolgerung: Hochenergetische Stoßwellentherapie hat sich als wirksam erwiesen und wird daher nachdrücklich für die Behandlung von verkalkter Rotatorenmanschetten-Tendinopathie empfohlen, da sie Schmerzen und Funktionalität verbessert sowie die Lebensqualität der Teilnehmenden erhöht und die Größe der Kalkablagerungen verringert. Die Stoßwellentherapie hat sich als überlegen gegenüber der routinemäßigen Physiotherapie erwiesen.
-
Ultrasound-guided percutaneous needle tenotomy using Tenex system for refractory lateral epicondylitis; short and long-term effectiveness and contributing factors
Die ultraschallgeführte perkutane Nadeltenotomie (USPNT) mit dem Tenex-System verbessert signifikant Symptome und Funktion bei Patienten mit lateraler Epikondylitis (Tennisellenbogen), selbst bei einer Langzeitnachverfolgung von bis zu 3 Jahren. Es wurden keine Komplikationen wie Sehnenrisse oder Infektionen beobachtet.